Moderne Zahnheilkunde für die ganze Familie
Prophylaxe

Zähne und deren Fundament gesund zu erhalten bis ins hohe Alter ist unser oberstes Ziel. "Dentalhygiene beinhaltet regelmässige Zahnreinigung und Zahnsteinentfernung. Ziel einer guten Mundhygiene sollte die optimale Entfernung der schädlichen bakteriellen Zahnbeläge sein. Liegengebliebener Zahnbelag ist die Ursache für Karies und Zahnfleischprobleme
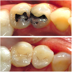
Konservierende Zahnmedizin

Parodontologie

Therapie des kranken, geschädigten Zahnhalteapparates zur Erhaltung des Zahnes. Parodontitis ist eine von Bakterien verursachte Krankheit des Zahnhalteapparates. Betroffen sind das Zahnfleisch und der Knochen, die mit der Zeit sich zurück bilden. Die Zähne scheinen dadurch länger zu werden und zeigen eine erhöhte Beweglichkeit
Ästhetische Korrekturen

Porzellan - Haftschalen (Veneers)
Kronen-und Brücken- Prothetik

Metallfreier, fixer Zahnersatz bei Teilverlust.
Zähne Bleichen

Behandlung von Zahnverfärbungen
Teil- und Totalprothetik

Abnehmbarer Zahnersatz.
Implantate

Metallfrei aus Zirkondioxid, biokompatibel.
Myofunktionelle Therapie

Therpie von Verspannungen im Kopf-und Nackenbereich.
Halitosis-Sprechstunde

Behandlung von Mundgeruch.